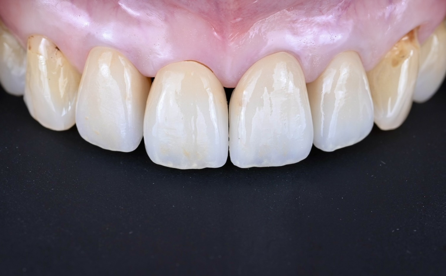
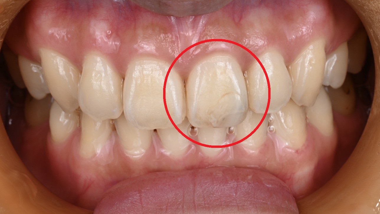
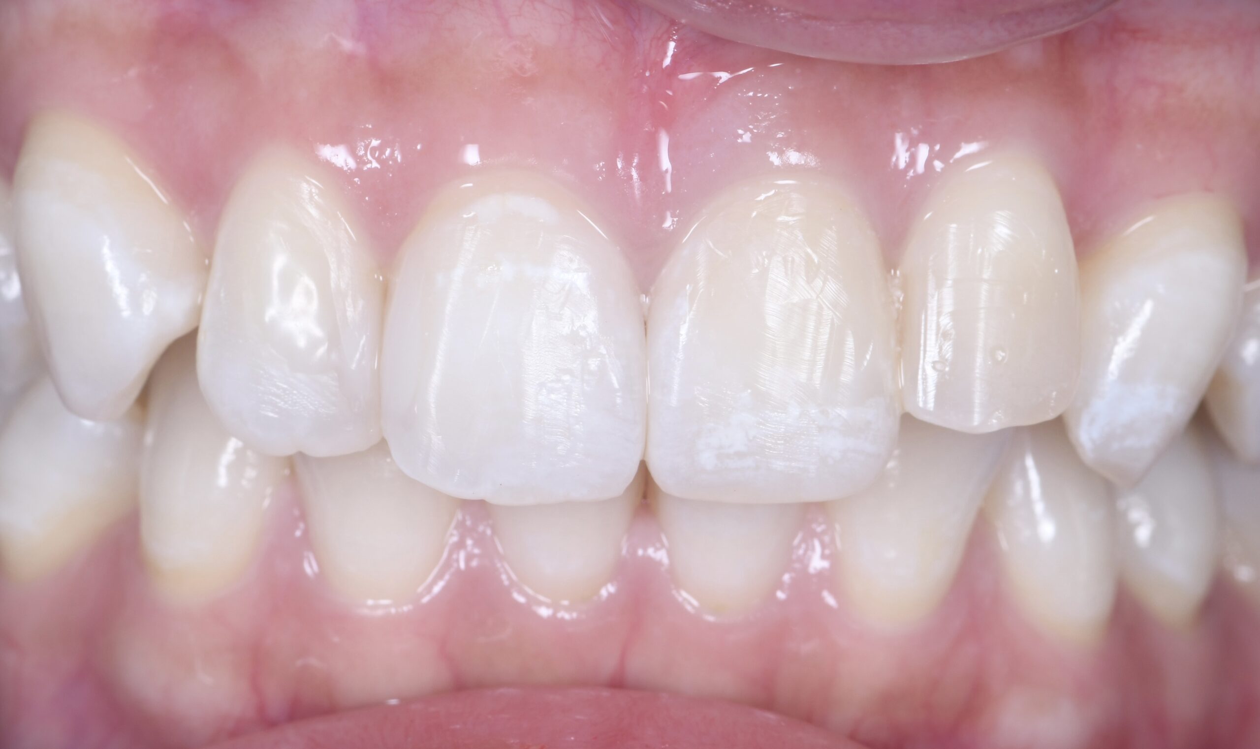
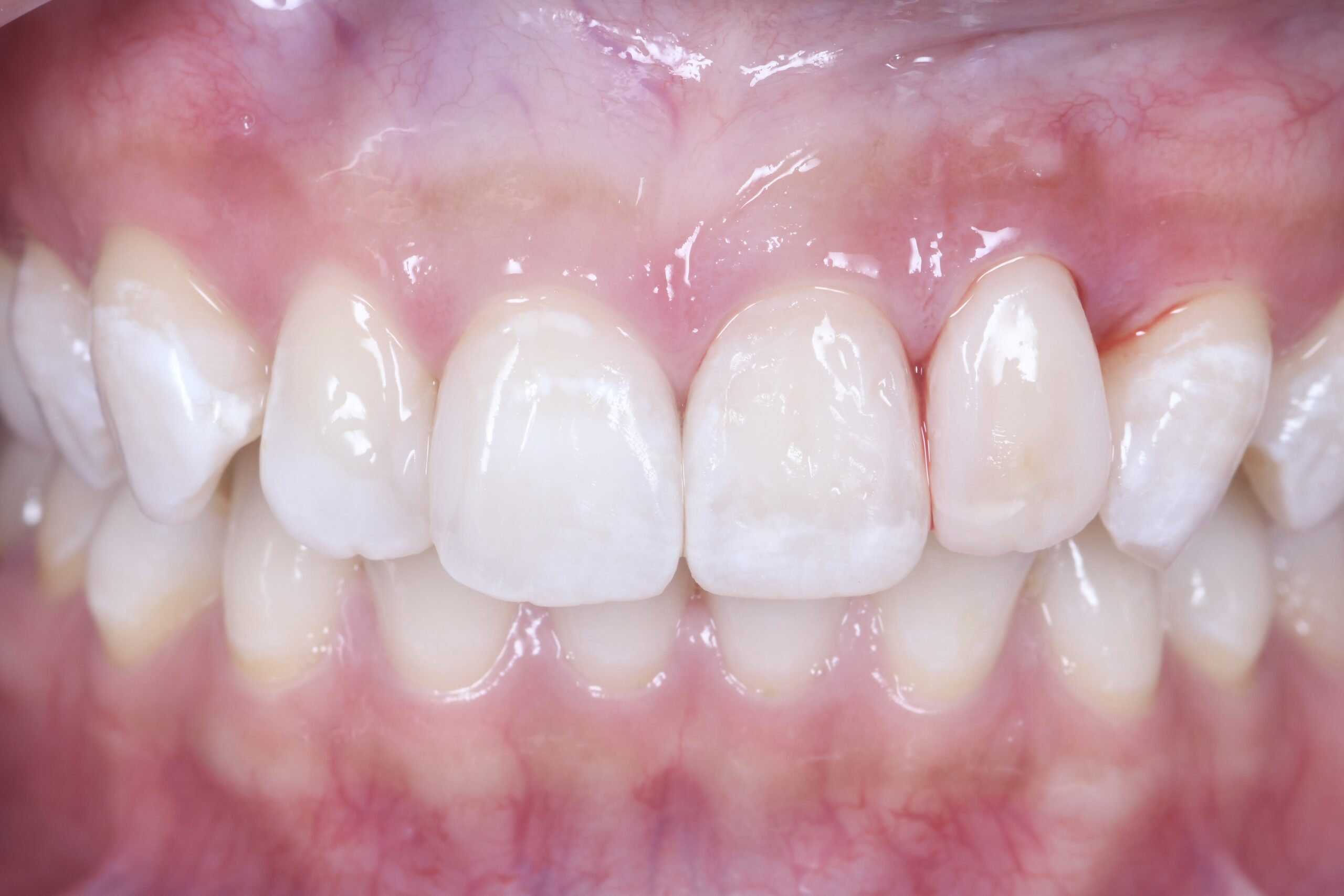
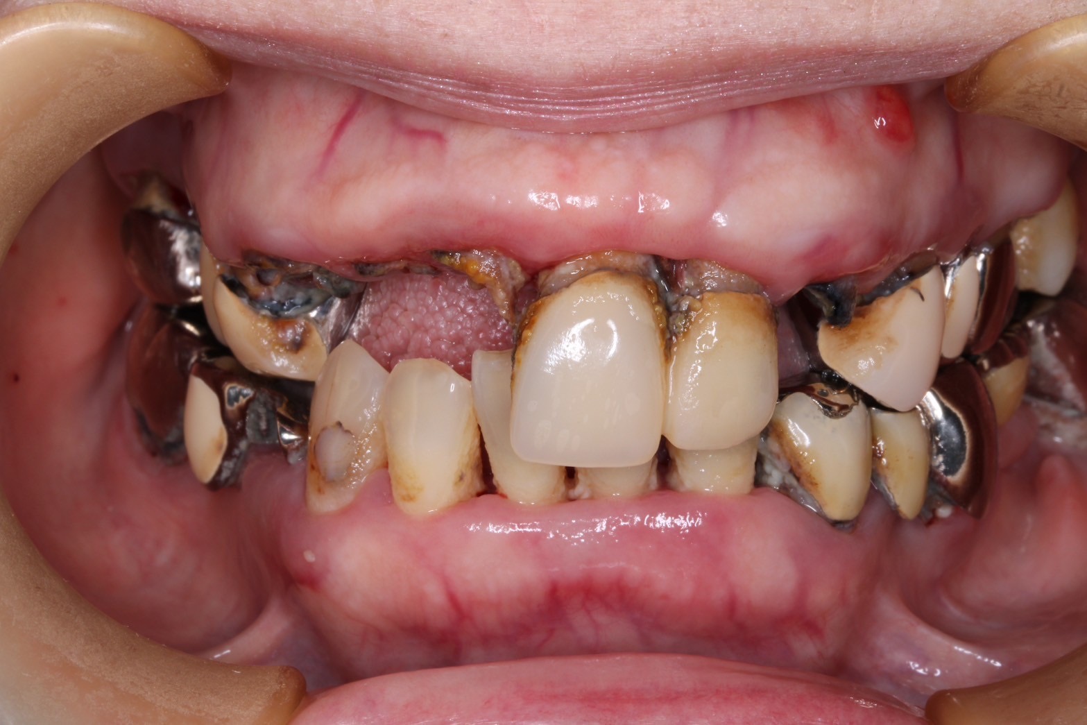
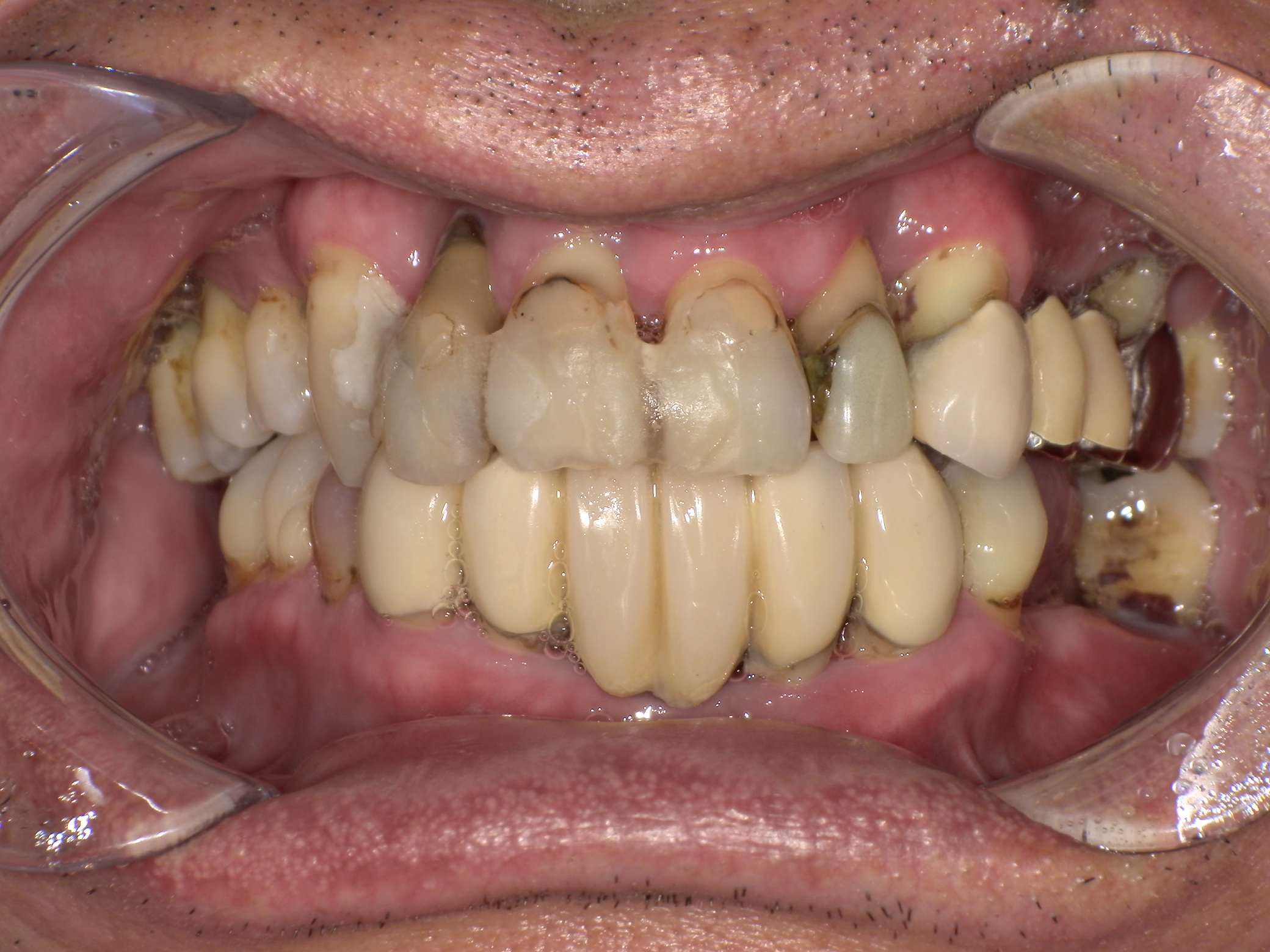
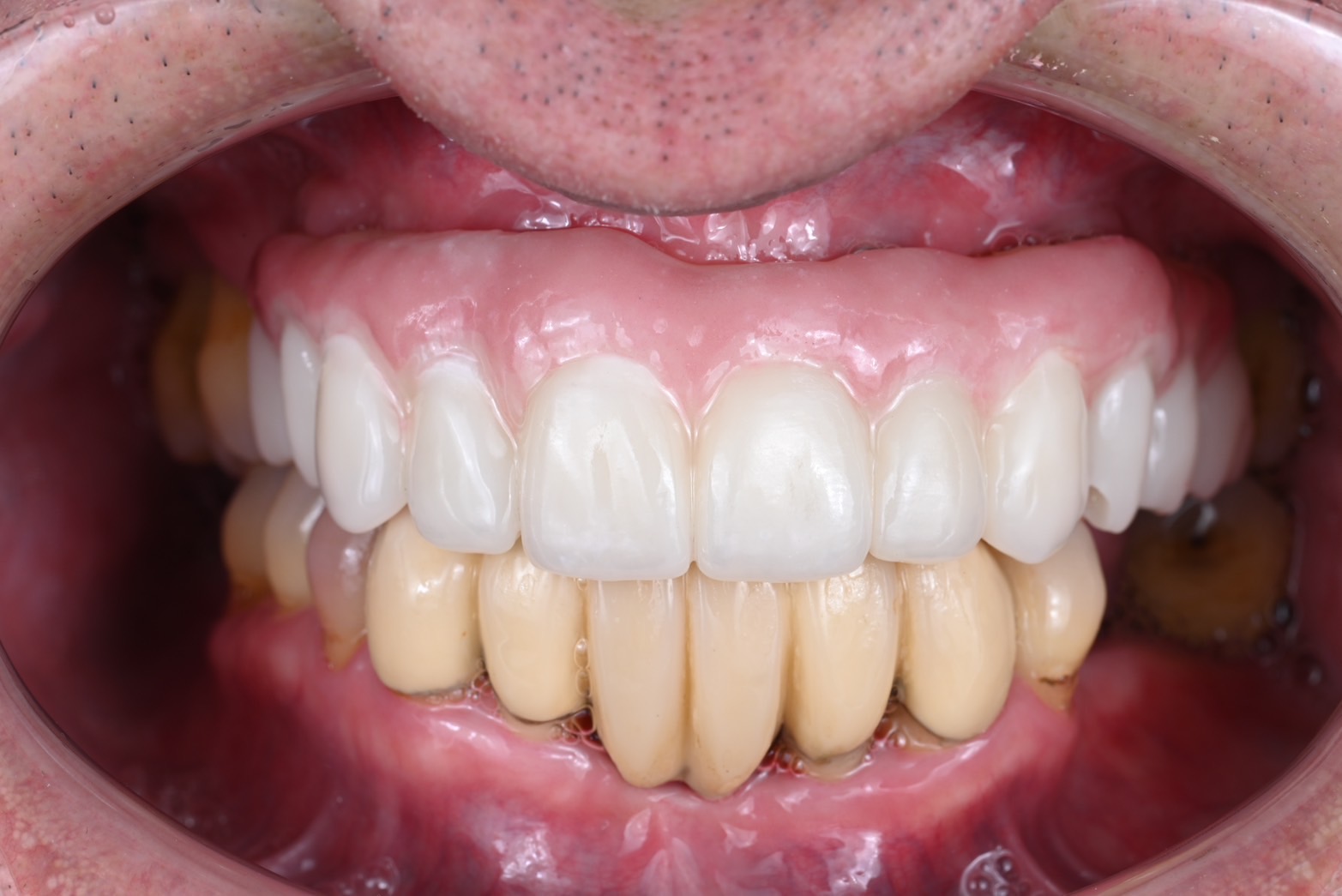
CASE 症例紹介
名古屋市北区の歯医者「とりい歯科」は、歯を失ってしまった方や歯並びにお悩みの方に、インプラント治療や矯正歯科治療をはじめとした歯科治療をご提供しています。こちらでは、当院のスタッフによるブログを一覧でご紹介しています。
ブログの内容は、日常的な診療の様子や医院としての考え、患者様へのお役立ち情報などさまざまです。記事は定期的に更新されますので、当院で診療を受けている方も、今後ご来院を検討している方もぜひご覧ください。
とりい歯科へのご相談やお口に関するお悩みはこちらまでご連絡ください。
052-915-8050とりい歯科へのWebからの予約は、こちらの予約フォームから承っています。
とりい歯科 予約フォーム



